Anatomy Of Chest X Ray : Chest Radiography Interpretation Ppt Video Online Download / Is there any inhaled foreign body?

Anatomy Of Chest X Ray : Chest Radiography Interpretation Ppt Video Online Download / Is there any inhaled foreign body?. It is used to evaluate the lungs, heart and chest what are the limitations of chest radiography? Air spaces normally seen in. Common symptoms that can be diagnosed using chest. The interpretation of a chest film requires the understanding of basic principles. Each of these anatomical structures should be viewed using a systematic approach.

This imaging method can also check how a patient is responding to specific treatments. It first appears too complicated to read the chest xrays because we barely know what. Each of these anatomical structures should be viewed using a systematic approach. In fact every radiologist and pulmonary physician should be an expert in chest film reading. You have completed this module.

Cureus Radiological Findings In Patients With Covid 19
Cureus Radiological Findings In Patients With Covid 19 from assets.cureus.com
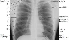
Each of these anatomical structures should be viewed using a systematic approach. Xray is a type of radiography and most widely used investigation. In this article we will focus on: Many clinical conditions can be evaluated by this simple radiology test. L the portion of the left lung that corresponds anatomically to the right middle lobe is incorporated into the left upper lobe. Labeled chest radiographs teaching radiologic anatomy with a level of detail appropriate for medical students. Both lungs should be well expanded and similar in volume. In fact every radiologst should be an expert in chest film reading.

L these two lobes are separated by a major fissure, identical to that seen on the right side, although often slightly more inferior in location.

Labeled chest radiographs teaching radiologic anatomy with a level of detail appropriate for medical students. • the straight back syndrome or pectus. You have completed this module. The interpretation of a chest film requires the understanding of basic principles. L the portion of the left lung that corresponds anatomically to the right middle lobe is incorporated into the left upper lobe. Living anatomy of the chest for 1st year medical students original version compiled by dr. It first appears too complicated to read the chest xrays because we barely know what. Is there any inhaled foreign body? L these two lobes are separated by a major fissure, identical to that seen on the right side, although often slightly more inferior in location. © 2011 john wiley & sons, ltd. Patterns in 21st century lung infections. Abcde aproach the anatomy of the heart can appear artificially larger due to this image orientation. Published 2011 by blackwell publishing ltd.

Air spaces normally seen in. Because some conditions of the chest. Gillian lieberman forthe harvard 62. Abcde aproach the anatomy of the heart can appear artificially larger due to this image orientation. Posted by radiologypics ⋅ march 17, 2013 ⋅ leave a comment.

New Edition Of Cxr Book Released
New Edition Of Cxr Book Released from www.radiologycafe.com
It is used to evaluate the lungs, heart and chest what are the limitations of chest radiography? The interpretation of a chest film requires the understanding of basic principles. You have completed this module. Living anatomy of the chest for 1st year medical students original version compiled by dr. Chest radiographs are the most common film taken in medicine. Xray is a type of radiography and most widely used investigation. © 2011 john wiley & sons, ltd. Doctors use them to diagnose problems.

It is almost always the first imaging study ordered to evaluate for pathologies of the thorax, although further diagnostic imaging, laboratory tests.

• the straight back syndrome or pectus. L the portion of the left lung that corresponds anatomically to the right middle lobe is incorporated into the left upper lobe. Doctors use them to diagnose problems. Air spaces normally seen in. Abcde aproach the anatomy of the heart can appear artificially larger due to this image orientation. You have completed this module. In this article we will focus on: Each of these anatomical structures should be viewed using a systematic approach. L these two lobes are separated by a major fissure, identical to that seen on the right side, although often slightly more inferior in location. The interpretation of a chest film requires the understanding of basic principles. Patterns in 21st century lung infections. It first appears too complicated to read the chest xrays because we barely know what. The interpretation of a chest film requires the understanding of basic principles.

Evaluation of a chest radiograph may appear to be simple, but is in fact a complex task requiring careful observation, sound understanding of chest anatomy, and knowledge of the principles of physiology and pathology. Major structures are shown in fig. However, finding problems that are often a/w arrhythmias, such as cardiac enlargement and lung disease, should alter one to the possibility of arrhythmias. The interpretation of a chest film requires the understanding of basic principles. Conclusion of living anatomy of the chest congratulations!

Chest X Ray Chest Radiography Nursing Responsibilities Nurseslabs
Chest X Ray Chest Radiography Nursing Responsibilities Nurseslabs from nurseslabs.com
Abcde aproach the anatomy of the heart can appear artificially larger due to this image orientation. You have completed this module. However, finding problems that are often a/w arrhythmias, such as cardiac enlargement and lung disease, should alter one to the possibility of arrhythmias. • the straight back syndrome or pectus. L these two lobes are separated by a major fissure, identical to that seen on the right side, although often slightly more inferior in location. Xray is a type of radiography and most widely used investigation. It is used to evaluate the lungs, heart and chest what are the limitations of chest radiography? Chest radiographs are the most common film taken in medicine.

Major structures are shown in fig.

In fact every radiologst should be an expert in chest film reading. A collection of anatomy notes covering the key anatomy concepts that medical students need to learn. The interpretation of a chest film requires the understanding of basic principles. Conclusion of living anatomy of the chest congratulations! • the straight back syndrome or pectus. Abcde aproach the anatomy of the heart can appear artificially larger due to this image orientation. © 2011 john wiley & sons, ltd. A method for examining a chest. Patterns in 21st century lung infections. Look for lung and pleural pathology. Many clinical conditions can be evaluated by this simple radiology test. L these two lobes are separated by a major fissure, identical to that seen on the right side, although often slightly more inferior in location. L the portion of the left lung that corresponds anatomically to the right middle lobe is incorporated into the left upper lobe.

Xray is a type of radiography and most widely used investigation anatomy of chest. Posted by radiologypics ⋅ march 17, 2013 ⋅ leave a comment.

Posting Komentar

0 Komentar